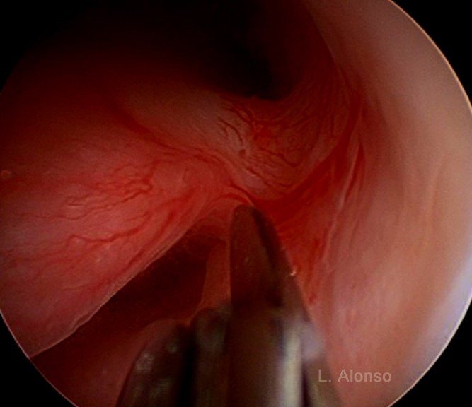
Evaluation of the uterine cavity and diagnosis of endometrial polyps
Endometrial polyps represent one of the most common gynecologic pathology frequently causing abnormal uterine bleeding and/or intermenstrual spotting, although the majority of patients with endometrial polyps are asymptomatic. Endometrial polyps are usually benign but the risk for malignancy should be considered when present in postmenopausal women, especially if causing vaginal bleeding










