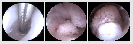
Endometrial Polyps
Endometrial polyps originate as focal hyperplasia of the basalis layer of the endometrium and become localized growths of endometrial tissueContinue Reading
The Hysteroscopy Newsletter Blog is a new tool created to support all the hysteroscopists around the world, with the aim to facilitate an open communication and sharing of new ideas, details about procedures and innovation between all providers who are passionate for Hysteroscopy
Endometrial polyps originate as focal hyperplasia of the basalis layer of the endometrium and become localized growths of endometrial tissueContinue Reading
Many epidemiological studies have linked the use of the intrauterine device with decreased risk of endometrial cancer. Tao MH, etContinue Reading
The first reference to the presence of intrauterine adhesions was made by Heinrich Fritsch in 1894 in a patient whoContinue Reading
The endometrium has the ability to experience cyclical changes in response to different hormonal stimuli that occur during the menstrualContinue Reading
Adenomyosis is a benign condition characterized by the presence of endometrial glands and stroma invading the myometrium with the presenceContinue Reading
Endometrial polyps are areas of growth of endometrial tissue inside the uterine cavity. They are composed of stroma, glands andContinue Reading
Hysteroscopic surgery is the treatment of choice for intrauterine adhesions. It allows to perform lysis of adhesions under direct visionContinue Reading
The main goal during in office diagnostic hysteroscopy is to obtain a smooth access the uterine cavity, making a fullContinue Reading
This book offers a cutting-edge guide to hysteroscopy and provides readers with the latest and most essential information on procedureContinue Reading
It is not uncommon to find in the daily practice small hyperechogenic areas located at the level of the cervicalContinue Reading










